Treffen die oberen und unteren Schneidezähne nicht aufeinander, kann das einen negativen Einfluss auf das Kauen, die Atmung und das äussere Erscheinungsbild haben.
Lesezeit: 3min
·
Thema: Aligner
:quality(75)/f/80634/2000x1000/480d8e6dd8/offener-biss-header-2000x1000-d.jpg)
Ein offener Biss bezeichnet in der Zahnmedizin eine der häufigsten Zahnfehlstellungen. Hierbei treffen die Schneidezähne nicht aufeinander, so dass in vielen Fällen ein deutlicher Abstand zwischen Unter- und Oberkiefer entsteht. Auch wenn die Eckzähne fest aufeinander gepresst sind, bleibt zwischen den Zahnreihen bei den Frontzähnen ein sichtbarer Spalt zurück.
Ein offener Biss kann verschiedene Ursachen haben und entweder genetisch bedingt oder durch ungünstige Angewohnheiten entstehen.
Der sogenannte frontal offene Biss entsteht meist im Kindesalter durch langes und starkes Daumenlutschen, Zungenpressen oder einer zu langen Verwendung eines Schnullers. Eine Fehlfunktion der Zunge kann ebenfalls einen offenen Biss an Front- oder Seitenzähnen begünstigen.
Der skelettal offene Biss – auch seitlich offener Biss genannt – hat häufig einen genetischen Ursprung. Die bleibenden Zähne haben dann im Seitenzahnbereich zu wenig Platz. In diesem Fall berühren sich oft nur noch die Backenzähne, was einen offenen Biss begünstigt oder zur Folge hat. Die Kieferfehlstellung oder ein verändertes Kieferwachstum können allesamt einen offenen Bisses zur Folge haben.
Neben funktionellen Störungen hat der offene Biss auch Auswirkungen auf das Aussehen. Häufige Folgen des offenen Bisses können unter anderem sein:
Ein offener Biss kann die gesamte Zahnstellung beeinträchtigen. So kann er beispielsweise einen Kreuzbiss begünstigen und auch mit anderen Arten von Bissproblemen, wie einem Überbiss, auftauchen.
Bei einem offenen Biss, der im Kindesalter entsteht, bleibt das Wachstum des Oberkiefers zurück. Die Folge ist ein enger Nasenboden, der die Nasenatmung erschwert. Das Atmen durch den Mund kann dann wiederum gesundheitliche Probleme mit sich ziehen, weswegen die Korrektur eines offenen Bisses oft bereits im Kindesalter empfohlen wird.
Es gibt verschiedene Methoden und Zahnspangen-Arten in der Kieferorthopädie, um einen offenen Biss zu korrigieren. Wird er bereits im Kindesalter behandelt, greift man oft auf die klassische, feste Zahnspange oder eine sogenannte Mundvorhofplatte zurück. Bei der Behandlung im Erwachsenenalter gibt es aber auch Alternativen zur festen Zahnspange. Der herausnehmbare Aligner kann Fehlstellungen durch einen offenen Biss dezent, aber nur leicht, korrigieren. Welche kieferorthopädische Behandlung sich am besten eignet, hängt stets von der individuellen Situation ab. Unsere fachkundigen Zahnärztinnen und Zahnärzte beraten dich gerne.
Die kieferorthopädische Behandlung ist in vielen Fällen nicht die einzige Behandlungsmethode. Durch die langjährige Fehlstellung müssen auch Sprachfehler und Sprachstörungen entlernt werden. Der Besuch eines Logopäden ist dementsprechend in vielen Fällen ratsam. Ist die Fehlstellung besonders ausgeprägt, kann auch ein operativer Eingriff nötig sein.
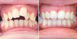
:quality(75))
Gegenüber der festen Zahnspange haben Aligner mehrere Vorteile:
Dank einer Zahnkorrektur mit Aligner wird der offene Biss Schritt für Schritt korrigiert, aber nicht komplett geschlossen. Im zwei Wochen Rhythmus wird jeweils eine neue Spange eingesetzt, die die Zähne langsam in die richtige Position rückt. Der offene Biss wird so in mehreren Etappen näherungsweise zusammengeführt. Die herausnehmbare Zahnspange passt sich genau deinem Lifestyle an und ist kaum sichtbar.
Wir von bestsmile sind von unserer Methode überzeugt. Daher erhältst du bei uns eine Ergebnis-Garantie. Solltest du mit dem Resultat deiner Behandlung nicht zufrieden sein, produzieren wir weitere Aligner für dich – bis dein Wunsch vom neuen Lächeln erfüllt ist.
Mit bestsmile Aligner dauert die Zahnkorrektur im Schnitt nur 3–12 Monate. Die Kosten der Aligner liegen bei CHF 40.–/Monat oder CHF 2490.– als Fixpreis für 1 Kiefer.
:quality(75)/f/80634/828x848/3a4e26aac4/topic-cta-box-image.png)